Zahnkorrektur aus Ihrer Praxis oder Ihrem Dentallabor!
Master-CAD ermöglicht Zahnarztpraxen und Dentallaboren den einfachen und flexiblen Zugang zur Alignertherapie.
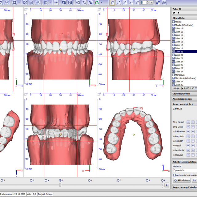
Fachgerechten Regulierung und Harmonisierung am Oberkiefer und Unterkiefer für eine optimierte Zahnstellung, erstellt von Master-CAD.
Durch unsere Inhouse Planung aller Aufträge erhalten Sie volle Behandlungskontrolle.
Vor Beginn der Behandlung erstellen wir auf Basis der digitalisierten Abdrücke eine Machbarkeitsanalyse. Diese beinhaltet die vollständige Planung sowie die genaue Angabe der notwendigen Schienen.







